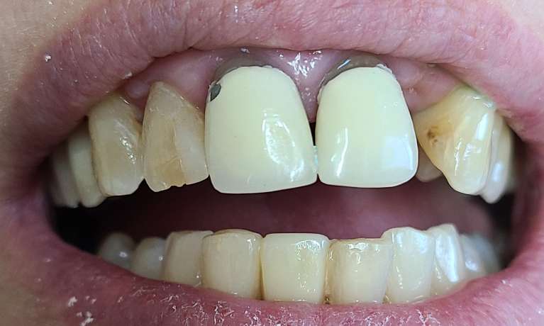
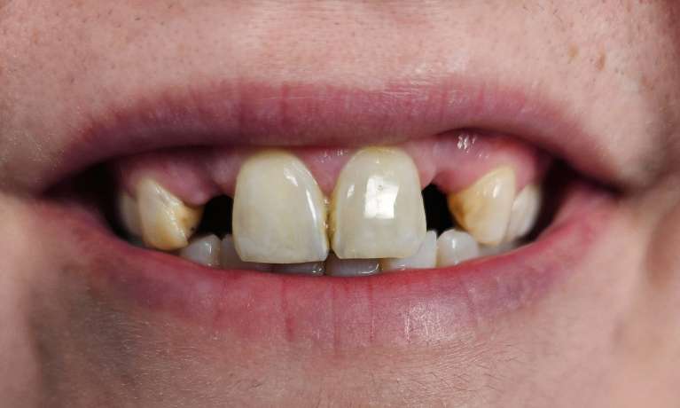
Crowns and Bridges
Dental crowns and bridges are restorations that we use to strengthen and protect damaged or broken teeth. Crowns are custom-made to cover a tooth completely, so they are often referred to as caps or tooth caps.
A crown restores the comfortable chewing function of the tooth and provides strength and support. Dental bridges replace missing teeth to restore function and complete your smile. We usually create crowns and bridges out of porcelain because of its natural appearance and durability.
Everyone wants a healthy, beautiful smile, and we can help you reach that goal with dental crowns and bridges. Updated techniques and treatments have made placing crowns and bridges easier than ever before.
When Are Dental Crowns and Bridges Used?
Dental crowns are very versatile, and we use them to correct many dental issues, including:
- Severely decayed teeth
- Teeth weakened by root canal treatment
- Fractured or broken teeth
- Broken or cracked fillings
- Large silver fillings
A dental bridge is designed to fill the space left by a missing tooth. The bridge is usually made as a single unit held in place by crowns attached to teeth on either side of the gap. A dental bridge not only improves your appearance but also prevents surrounding teeth from shifting out of place and moving into the gap left by a missing tooth.
What Does Placing a Crown or Bridge Involve?
We can typically place a dental crown or bridge in two or three visits. First, we prepare your natural tooth to receive the restoration and take an impression of your teeth. The impression accurately represents the position of your natural teeth so that your restoration fits perfectly.
Next, we send the impressions to a custom dental lab, where skilled technicians use them to create your permanent restoration, which usually takes about two weeks. Before you leave our office, we fit you with a temporary bridge or crown to wear while the lab fabricates your final crown or bridge. 
Once we receive your final restoration, we schedule an appointment for you to return to our office to check the finished restoration for comfortable and make any necessary adjustments. The final step is to cement the custom restoration securely in place.
We will also provide instructions for caring for your crown or bridge properly. The restoration is strong and durable under normal conditions, but it requires special care to prevent damage and the possible need for replacement.
If you practice proper oral hygiene and schedule regular dental cleanings, your new restoration will last for many years.
Call to Schedule an Evaluation
Are you troubled by a damaged or missing tooth? Please call our dental office today to schedule an evaluation and learn more about your options!