You are using a web browser that may not support the design features on this site.
For the best experience, please switch to another browser. We recommend Chrome or Firefox.
Take a look at our Smile Gallery to see beautiful treatment results. Call us to book your appointment!
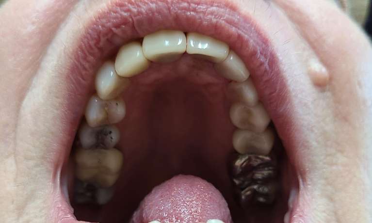
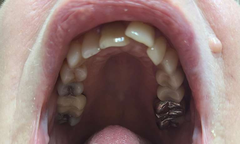
1 Bridge was used to improve esthetics and function for this very happy patient!
We placed 2 bridges to restore this patient's smile and confidence!
We were able to correct crowding and improve the patient's bite with crowns.
Crowns are a great way to improve the appearance of teeth with enamel defects.
This smile makeover was incredible--relieving pain, restoring patient to full chewing ability, and giving the patient an amazing smile!
Tooth-colored fillings aren't just for cavities! They can also be used to cover stain, fill gaps, and restore a bright smile!